微信扫一扫
咳咳咳——一声声撕心裂肺的咳嗽,折磨了沙洲坝镇的钟先生一个多月。吃药、打针,却始终不见好转。直到两周前咳出血丝,他才意识到事情没那么简单。
今年2月,对钟先生来说不堪回首。反复咳嗽、咳痰让他夜不能寐,白天疲惫不堪。消炎药、止咳糖浆轮番上阵,症状却反反复复。更可怕的是,最近两周竟然咯血。
忧心忡忡的钟先生来到我院呼吸科。接诊医生详细询问病史后敏锐意识到,这不是普通感染。胸部CT揭开冰山一角:左主支气管内,赫然可见条状高密度影。

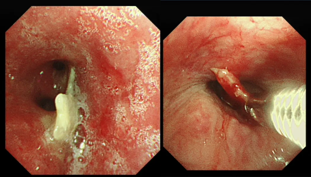
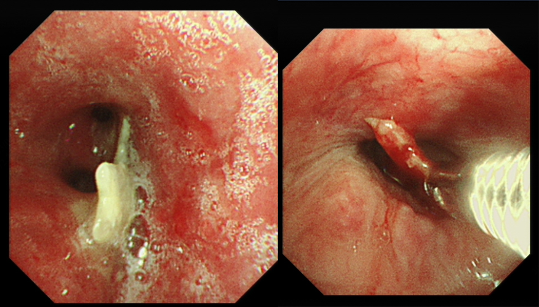
呼吸科专家团队高度重视。气管异物长期不取,可能导致反复感染、肉芽增生,甚至更严重并发症。科室迅速制定手术方案。近日,全麻下电子气管镜探查术开始。细长支气管镜经口腔探入,沿气道蜿蜒前行。当镜子抵达左主支气管下段时,可见一块约1.5厘米长、1厘米宽的白色骨样异物,正卡在左主下段,边缘锋利,周围黏膜组织充血水肿明显,稍碰即出血。一个多月来,每一次呼吸咳嗽,这块异物都像钝刀,反复摩擦娇嫩的气道内壁。
取出异物谈何容易。气道狭窄,操作空间有限;异物光滑难钳;黏膜充血,稍有不慎就大出血;更危险的是,它随呼吸摆动,一碰就可能滑向更深处。
手术台上,呼吸科主刀医生屏气凝神,紧盯屏幕。纤细异物钳穿过通道,一点点靠近。手腕纹丝不动,稳稳夹住异物边缘,缓缓拖曳——当异物通过声门那一刻,所有人屏住了呼吸。“出来了!”白色骨样异物完整取出,患者气道瞬间通畅,生命体征平稳,安返病房。

患者苏醒后,得知折磨自己一个多月的“元凶”竟是一块骨头,钟先生后怕又庆幸:“完全想不起什么时候呛进去的”。这块1.5厘米的骨头,边缘已被分泌物包裹得光滑。如果延误治疗,反复感染、气道狭窄甚至穿孔,后果不堪设想。
钟先生的经历敲响警钟:反复咳嗽迁延不愈,尤其伴发热咯血,务必及时就医——别让一次小小呛咳,酿成长期健康隐患。
气管异物,是呼吸科常见的急症之一,也是最容易被误诊的“隐形杀手”。老人和儿童是高发人群,但成年人也可能在进食时谈笑、匆忙吞咽中不慎将异物呛入气道。异物滞留可导致:
✅ 长期咳嗽、咳痰
✅ 咯血、反复感染
✅ 肺部感染、肺不张
✅ 严重者可致窒息,危及生命
电子支气管镜简介
——电子支气管镜:呼吸道的“高清侦察兵”
此次手术中使用的电子支气管镜,是一种集检查与治疗于一体的先进设备。它外形柔软、纤细,前端配有微型摄像头和光源,可通过口腔或鼻腔进入气管、支气管,帮助医生直接观察肺部深处的病变,如炎症、肿瘤或异物。与传统检查手段相比,电子支气管镜不仅能实拍高清影像,还能通过配套工具进行活检、冲洗、治疗操作,大大提升了诊断的精准性。实现:
✅ 高清影像实时观察
✅ 精准定位异物
✅ 配套工具进行活检、冲洗、取出异物
✅ 创伤小、恢复快、诊断准确率高

